:strip_icc():format(jpeg)/kly-media-production/medias/5385866/original/046082200_1760946649-Cek_Fakta_Tidak_Benar_Ini_Link_Pendaftaran_-_2025-10-20T132925.569.jpg)
blt
Berita Terkini
Lihat SemuaTop 8 Most Beautiful Places in Russia You Need to Visit
Telah dibaca 14 kaliIgor Tudor Punya Waktu 6 Pertandingan untuk Selamatkan Karier di Juventus
Telah dibaca 42 kaliHow Long to Boil Corn: Fresh and Frozen Corn
Telah dibaca 14 kaliSekjen PDIP Beri Catatan: Pemerintahan Prabowo Harus Percepat Program Kerakyatan
Telah dibaca 56 kaliKalah 4 Kali Beruntun, Liverpool Berani Pecat Arne Slot?
Telah dibaca 49 kali5 Scary Facts About Deep Ocean You May Never know
Telah dibaca 14 kaliViral Agya Kuning Diamuk Massa, Ternyata Milik Polisi Diduga Dipakai Buat Merampok
Telah dibaca 133 kaliVIDEO: Melanggar Etik, Ketua, dan Empat Komisioner KPU RI Dijatuhi Sanksi
Telah dibaca 0 kaliHujan Deras Guyur Jakarta, 2 RT dan 3 Ruas Jalan Tergenang Malam Ini
Telah dibaca 126 kaliFokus Pagi : Kebakaran Rumah Mewah di Surabaya Ditinggal Penghuninya
Telah dibaca 21 kali
Pengertian
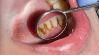
Karang gigi merupakan lapisan keras yang terbentuk karena proses kalsifikasi dari plak gigi. Karang gigi terbentu dari kalsium fosfat yang menempel di permukaan gigi dan permukaan tambalan. Permukaan karang gigi dilapisi oleh plak gigi yang belum mengeras. Dalam dunia medis, kondisi ini dikenal juga dengan nama kalkulus atau tartar.
Karang gigi terbagi menjadi dua jenis, yaitu:
- Karang gigi supragingival. Biasanya muncul mulai dari garis gusi sampai permukaan area kunyah gigi.
Karang gigi ini pada umumnya berwarna putih kekuningan, yang bisa berubah sesuai dengan kondisi dan kebiasaan orang yang memilikinya. Misalnya, bila orang tersebut sering minum kopi atau teh, maka karang gigi bisa berubah menjadi berwarna kecokelatan.
Tekstur karang gigi supragingival menyerupai tanah liat dan mudah terlepas dari permukaan gigi. Karang gigi bisa muncul hanya pada satu gigi atau beberapa gigi sekaligus. Bahkan karang gigi juga bisa muncul pada semua gigi.
Setelah dibersihkan oleh dokter gigi, karang gigi supragingival masih dapat tumbuh kembali. Kondisi ini khususnya terjadi pada daerah gigi depan rahang bawah di sisi bagian dalam.
- Karang gigi subgingival. Karang gigi ini terletak mulai dari garis gusi dan masuk ke dalam gusi ke arah akar gigi. Karena letaknya di bawah gusi, karang gigi ini sering kali tidak terlihat dan kerap terabaikan pada saat pemeriksaan gigi rutin.
Karang gigi subgingival biasanya berwarna cokelat atau hijau kehitaman karena bercampur dengan darah. Teksturnya sangat keras, padat, dan melekat sangat erat di permukaan gigi.
Baik karang gigi baik subgingival dan supragingival, keduanya memiliki tekstur berongga. Hal ini membuat karang gigi dapat menyerap racun hasil bakteri yang bisa merusak jaringan penyangga gigi di bawahnya (periodontal).
Penyebab
Karang gigi disebabkan karena adanya penumpukan sisa makanan yang dalam jangka waktu yang lama. Biasanya, hal ini banyak ditemukan pada bagian yang tidak terkena sikat gigi saat proses membersihkan gigi. Itulah sebabnya karang gigi sering muncul pada gigi depan yang berada di rahang bawah (sisi bagian dalam) dan gigi geraham rahang atas (sisi bagian luar).
Pembentukan karang gigi berawal dari plak yang mengalami proses mineralisasi serta pengerasan dalam waktu 4–8 jam. Plak yang masih lunak akan berubah menjadi keras saat bercampur dengan garam mineral yang ada di dalam air ludah. Proses ini dimulai dari hari pertama sampai keempatbelas.
Umumnya dalam waktu dua hari, 50 persen plak yang mengeras akan mengalami mineralisasi. Selanjutnya, dalam waktu 12 hari, 60–90 persen akan mengalami mineralisasi.
Selama pembentukan plak gigi, dalam waktu 24–72 jam proses mineralisasi terjadi terus menerus pada permukaan gigi. Rata-rata waktu yang dibutuhkan untuk mineralisasi pada pembentukan karang gigi yang cepat adalah 10–12 hari. Sedangkan pada proses pembentukan karang gigi yang tergolong lambat adalah 20 hari.
Gejala
Mereka yang memiliki karang gigi biasanya tidak akan merasakan keluhan rasa sakit ataupun nyeri. Tetapi saat karang gigi sudah menumpuk dan dibiarkan terlalu lama, biasanya orang tersebut baru akan mengalami beberapa keluhan.
Tanda yang paling banyak dikeluhkan adalah adanya darah saat sedang menyikat gigi atau terlihat berdarah pada gusi. Saat itu, sebenarnya sudah terjadi peradangan gusi yaitu jaringan periodontal yang paling luar.
Perawatan
Cara paling efektif untuk menghilangkan karang gigi adalah dengan membersihkan karang gigi atau scaling yang dilakukan oleh dokter gigi. Teknik ini dilakukan dengan menggunakan bantuan alat secara manual atau dengan alat ultrasonik.
Alat ultrasonik bekerja dengan memecah karang gigi hingga ke tempat yang sulit dijangkau, termasuk karang gigi yang ada di bawah gusi. Dengan penggunaan yang benar, alat ini cukup aman bagi permukaan gigi dan sebagian akar gigi yang terbuka akibat penurunan gusi.
Pencegahan
Melakukan perawatan gigi secara baik dan benar di rumah adalah cara pencegahan karang gigi yang bisa dilakukan dengan mudah. Penggunaan benang gigi (dental floss) juga dapat membantu membersihkan sisa makanan yang terselip di antara gigi.
Mengonsumsi makanan segar dan berserat juga dapat membantu memelihara pergerakan mulut dan kesegaran gigi. Selain itu jangan lupa untuk melakukan pembersihan karang gigi secara rutin setiap enam bulan sekali untuk mencegah terjadinya penyakit jaringan penyangga gigi (periodontal).
:strip_icc():format(jpeg)/kly-media-production/medias/4854242/original/043607100_1717592007-poking-girl-while-washing-her-teeth_141793-235.jpg)
:strip_icc():format(jpeg)/kly-media-production/medias/5247167/original/056076700_1749526609-06bdfb42-869d-4e6a-8d1f-637af8b6a219.jpg)
:strip_icc():format(jpeg)/kly-media-production/medias/5152453/original/043320500_1741249346-beauty-women-concept-young-smiling-woman-showing-her-cute-dimples-face-looking-happy.jpg)
:strip_icc():format(jpeg)/kly-media-production/medias/1457824/original/050604800_1483456371-topic_article_plak_karang_gigi.jpg)
:strip_icc():format(jpeg)/kly-media-production/medias/5379899/original/015827500_1760407756-AnugerahL6__desktop-mobile__356x469_-_Button_Share.png)
- KKP Raih Anugerah Liputan6 Berkat Upaya Pemberdayaan Masyarakat dalam Melestarikan Ekosistem Pesisir Berkelanjutan47 menit yang lalu
- Saksikan Live Streaming Anugerah Liputan6 2025: Berdaya, Berdampak, Berkelanjutan2 hari yang lalu
- Anugerah Liputan6 2025: PT Harfia Construction Machinery Sabet Anugerah Inspiratif Kategori Swasembada Pangan3 hari yang lalu
- Guru Besar UGM: AI Memang Cerdas, Tapi Tak Punya Kejujuran dan Harapan Seperti Manusia3 hari yang lalu
- Anugerah Liputan6 2025: Bank Raya Raih Penghargaan Bergengsi Kategori Digitalisasi Perbankan3 hari yang lalu
- Anugerah Liputan6: BSI Perkuat Ekosistem Investasi Emas Buat Masyarakat3 hari yang lalu
- Transformasi Digital Bawa Bulog Raih Penghargaan Anugerah Liputan6 20254 hari yang lalu
- Aktif Suarakan Literasi Digital, Mira Sahid Terima Anugerah Perempuan Hebat Liputan64 hari yang lalu
- Krisan Valerie Kobarkan Semangat Memanusiakan Manusia Lewat Platform Baku Bantu Sulut5 hari yang lalu
- Raih Penghargaan Anugerah Liputan6, Ini Tujuh Sosok Perempuan Hebat Indonesia5 hari yang lalu
- Raih Penghargaan Anugerah Liputan6, Bank BRI Ingin Terus Berikan Dampak Positif ke Masyarakat5 hari yang lalu
- Guru Besar UGM: AI Tanpa Manusia Tak akan Pernah Punya Makna5 hari yang lalu
:strip_icc():format(jpeg)/kly-media-production/medias/5024560/original/019890200_1732616602-cara-menghilangkan-karang-gigi-secara-alami.jpg)
:strip_icc():format(jpeg)/kly-media-production/medias/5102690/original/099480000_1737446748-1737445126750_cara-menghilangkan-karang-gigi-dalam-waktu-5-menit.jpg)
:strip_icc():format(jpeg)/kly-media-production/medias/2840296/original/045676800_1561785617-iStock-940926002.jpg)
:strip_icc():format(jpeg)/kly-media-production/medias/4982421/original/076429600_1730097221-cara-membersihkan-karang-gigi.jpg)
:strip_icc():format(jpeg)/kly-media-production/medias/5387234/original/074157800_1761035043-EkspresiMuda__desktop-mobile__356x469.png)
- Semangat Mahasiswa Universitas Syiah Kuala Banda Aceh Berlatih Evakuasi Korban dari Ketinggian1 hari yang lalu
- Gelaran HSP Fair 2025 Panaskan Puncak Perayaan Sumpah Pemuda1 hari yang lalu
- Isi dan Makna 3 Ikrar Sumpah Pemuda yang Satukan Indonesia1 hari yang lalu
- Hadirkan Ratusan Peserta Dunia, AWMUN XII Jadi Forum Diplomasi Internasional yang Ramah untuk Pemula1 hari yang lalu
- Mohammad Ahsan-Liliyana Natsir Puji Gelaran Vidio Sports Festival: Berharap Jadi Event Rutin4 hari yang lalu
- Organisasi Pemuda Islam Nusantara Laporkan Kasus Dugaan TPPU dan Penggelapan Pajak ke PPATK4 hari yang lalu
- Daftar Jalan yang Bakal Ditutup Selama Jakarta Running Festival 2025, Catat Jalur Alternatifnya4 hari yang lalu
- Indonesia Siap Tempur di Asian Youth Games dan Islamic Solidarity Games 20254 hari yang lalu
- Krisan Valerie Kobarkan Semangat Memanusiakan Manusia Lewat Platform Baku Bantu Sulut5 hari yang lalu
- Perjuangan Keras Reihan Berbuah Medali Perunggu Bola Voli POMNAS 20256 hari yang lalu
- Pesan Semangat Ketum PBVSI untuk Timnas Voli Putra dan Putri serta Voli Pantai U18 di Asian Youth Games 20251 minggu yang lalu
- Sumpah Pemuda 2025, Aceh Gaungkan Bangkit Bersama Bersih Narkoba1 minggu yang lalu
:strip_icc():format(jpeg)/kly-media-production/medias/2791012/original/010649800_1556511222-brushing-teeth-2103219_1280.jpg)
:strip_icc():format(jpeg)/kly-media-production/medias/3207892/original/035091200_1597305049-mouth-2791895_1920.jpg)
:strip_icc():format(jpeg)/kly-media-production/medias/731468/original/073587600_1409659529-healthy-smile.jpg)
:strip_icc():format(jpeg)/kly-media-production/medias/1458438/original/000244100_1483458277-rubrik-gigi-mulut_Cara-Murah-Atasi-Karang-Gigi-Gosok-Gigi-ke-Sela-Gigi.jpg)
:strip_icc():format(jpeg)/kly-media-production/medias/1640026/original/075355700_1499232691-Cara-Membersihkan-Karang-Gigi-di-Rumah.jpg)
:strip_icc():format(jpeg)/kly-media-production/medias/1993553/original/060120100_1521002784-1879043.jpg)
:strip_icc():format(jpeg)/kly-media-production/medias/3896328/original/026565900_1641453895-shutterstock_783008350.jpg)
:strip_icc():format(jpeg)/kly-media-production/medias/2840296/original/045676800_1561785617-iStock-940926002.jpg)
:strip_icc():format(jpeg)/kly-media-production/medias/1642503/original/055276400_1499430549-res.cloudinary.com.jpg)
:strip_icc():format(jpeg)/kly-media-production/medias/3896328/original/026565900_1641453895-shutterstock_783008350.jpg)
:strip_icc():format(jpeg)/kly-media-production/medias/3280553/original/031477900_1603865606-superkitina-rCT928GIboM-unsplash.jpg)
:strip_icc():format(jpeg)/kly-media-production/medias/3223848/original/041374600_1598860229-teen-woman-pressing-her-bruised-cheek-with-painful-expression-as-if-she-is-having-terrible-tooth-ache_1258-5597.jpg)